这种源自欧洲的常见蔬菜,竟能改善骨关节炎!
12/19/2025 15:16:09
这种源自欧洲的常见蔬菜,竟能改善骨关节炎!
骨关节炎是一种困扰全球超过5.28亿人的慢性退行性关节疾病,长期以来缺乏能够逆转疾病进程的有效疗法。传统的药物主要专注于缓解疼痛,但无法阻止软骨的持续磨损,在寻找新疗法的道路上,西洋菜逐渐受到人们关注。
近期,第四军医大学的研究人员在《Bioactive Materials》期刊上发表了一篇文章,他们发现摄入西洋菜能够缓解骨关节炎(OA)的进展。

1.西洋菜如何预防骨关节炎?
这样研究筛选了21种日常食用蔬菜,并以循证医学为基础,分析了蔬菜摄入量与骨关节炎之间的因果关系。结果发现,只有西洋菜、大蒜和豆芽的摄入与骨关节炎有显著的因果关联。其中,西洋菜和大蒜的摄入是抑制骨关节炎的关键因素,而豆芽则会促进骨关节炎的发展。
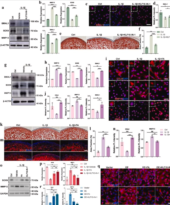
紧接着,研究人员从西洋菜中分离出外泌体样纳米囊泡(WELNs-CAP),将其注射入骨关节炎患者关节。结果发现,WELNs-CAP能立即起到物理润滑、减少摩擦疼痛的作用。进一步的研究发现,WELNs-CAP能改善骨关节炎引起的软骨细胞合成代谢和分解代谢失衡,维持细胞外基质(ECM)的正常代谢和软骨的物理特性,确保软骨细胞的生存微环境,并具有促进体内软骨自我修复和更新的潜力。WELNs-CAP还可以逆转炎症引起的软骨细胞合成代谢和分解代谢失衡,防止软骨细胞纤维化和肥大,进而达到改善骨关节炎的作用。
西洋菜纳米囊泡中发挥关键作用的活性成分是阿魏酸。这是一种天然存在于多种植物中的酚酸,在西洋菜中含量丰富。阿魏酸能够与细胞内的关键转录因子KLF10相互作用。这种相互作用,最终恢复并稳定了骨关节炎患者软骨细胞内已被破坏的昼夜节律。

2.什么是西洋菜?
西洋菜(Nasturtium officinale R. Br.),又称豆瓣菜,水田芥、水芥菜,它原产于欧洲地中海东部和南亚热带地区,后在世界范围分布广泛。在19世纪,这种蔬菜由欧洲传入我国,所以被称为“西洋菜”。西洋菜属于十字花科豆瓣菜属植物,生命力特别旺盛,它通常野生于山涧河边、沼泽地或水田中,也能在自家花园或农田中栽种,喜冷凉湿润和光照良好的环境。
图片
图源:pixabay
西洋菜口感脆嫩、清甜,经常被烹制成各种菜肴。西洋菜全草还可入药,具有清肺、凉血、利尿、解毒的功效,可改善肺热燥咳、坏血病、泌尿系炎症等疾病。此外,由于西洋菜生命力强、生长速度快,含有丰富的蛋白质、氮、磷。因此它在水体富营养化治理中也有广阔的应用前景。
Watercress Extract Powder的核心成分就是西洋菜,它有助于保护细胞免受氧化应激的损害,它还有助于维持心血管功能和血液循环。
图片
图源:bulksupplements
Secrets推出的西洋菜胶囊富含维生素A、C和K,铁,钙,叶酸和植物营养素,能促进人体自然排毒,有助于整体健康。

3.西洋菜的更多功效
现代研究发现,西洋菜富含硫代葡萄糖苷、异硫氰酸酯(尤其是苯乙基异硫氰酸酯)、黄酮类化合物(槲皮素、芦丁、山奈酚)、维生素(维生素A、C、K等)和矿物质(钙、铁、碘、磷、镁、铜)。这些活性成分赋予了西洋菜抗氧化、保护心脏、降血脂&血糖等作用。
抗氧化:研究发现,西洋菜中的异硫氰酸酯、黄酮类化合物能通过激活Nrf2/HO-1 抗氧化通路,提升超氧化物歧化酶(SOD)、谷胱甘肽过氧化物酶(GPX)活性,清除体内过量活性氧;同时降低氧化应激标志物(如丙二醛、蛋白羰基),提升总抗氧化能力,减少氧化损伤对细胞的影响。
降血脂:研究表明,经常食用西洋菜可通过降低低密度脂蛋白(LDL)胆固醇和甘油三酯水平来改善血脂,从而降低心血管疾病风险。此外,西洋菜富含叶酸,有助于维持代谢健康,并可能降低与中风和高血压相关的同型半胱氨酸水平。
改善糖尿病:西洋菜可减少空腹血糖、糖化血红蛋白(HbA1c),提升胰岛素分泌与敏感性,改善胰岛素抵抗。西洋菜还能激活葡萄糖转运蛋白4(GLUT4)、腺苷酸活化蛋白激酶(AMPK)通路,促进葡萄糖摄取与利用,抑制 α-淀粉酶活性。
保护心脏:临床研究发现,西洋菜提取物可缓解BPA/DBP诱导的心肌氧化应激,恢复心肌酶活性,减少心肌组织炎症浸润。健康人群食用新鲜西洋菜后,可轻度下调 IL-6、TNF-α 等炎症因子水平,同时避免过度抑制免疫功能,维持血管炎症微环境稳态。




